Soft Tissue Grafting

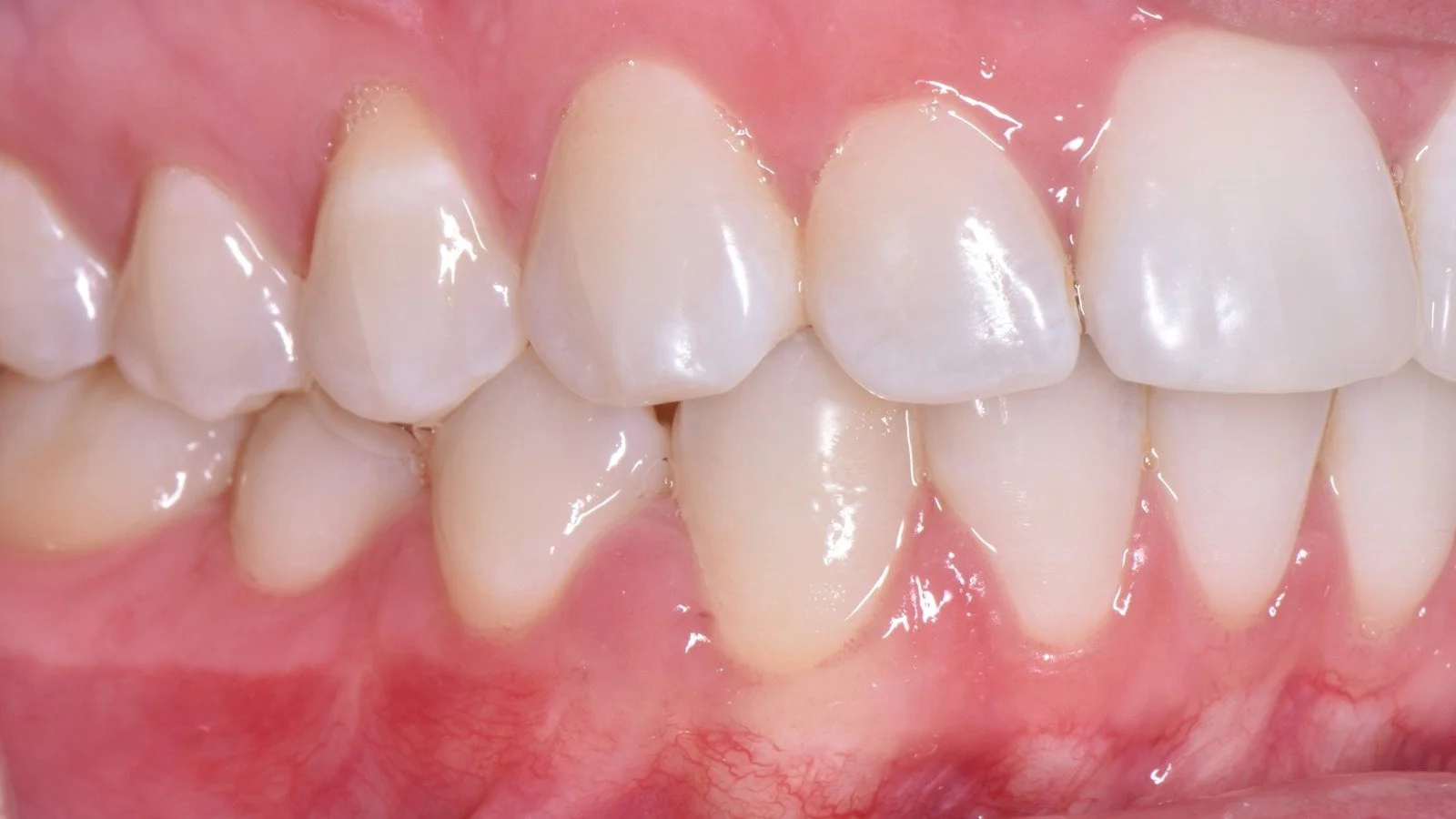
Healthy gums are the "frame" for your teeth and the primary defense for your dental roots. When gums recede due to periodontal disease, genetics, or aggressive brushing, it can lead to tooth sensitivity, increased risk of decay, and an uneven appearance.

At Perio Connect, we perform Soft Tissue Grafting to reverse recession and reinforce your natural gum line.

Why is Soft Tissue Grafting Necessary?

Gum recession isn't just an aesthetic issue. When the gum tissue pulls away, the root of the tooth—which lacks the protective enamel of the crown—becomes exposed. This can lead to:

  • Root Sensitivity: Sharp pain when consuming hot or cold foods and drinks.

  • Root Decay: The softer root surface is much more susceptible to cavities.

  • Bone Loss: Receding gums often go hand-in-hand with the loss of the underlying bone support.

Common Types of Gum Grafts

Depending on your specific needs and the amount of recession, we utilize different techniques to restore your tissue:

  • Connective Tissue Grafts: The most common method. We take a small amount of tissue from under the skin of the roof of your mouth (palate) and tuck it under your existing gum tissue at the site of recession.

  • Free Gingival Grafts: Similar to the above, but used for patients who have very thin gums and need extra thickness to prevent further recession.

  • Pedicle Grafts: Tissue is shared from the gums immediately surrounding the tooth needing repair. A flap is partially cut and pulled over the exposed root.

  • Donor Tissue (Alloderm): For patients who prefer not to have tissue taken from their palate, we can use high-quality, processed donor tissue that acts as a scaffold for your own gums to grow into.

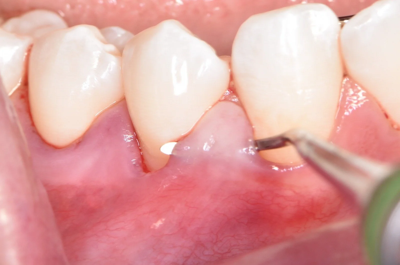
The Procedure: What to Expect

By bringing our periodontal specialist directly to your general dentist’s office, we ensure a seamless experience:

  1. Comfort First: The area is thoroughly numbed with local anesthesia.

  2. Preparation: The recession site is cleaned and prepared to receive the new tissue.

  3. Placement: The graft is precisely sutured into place.

  4. Healing: Over the next few weeks, your body integrates the new tissue, creating a thick, stable, and healthy gum margin.

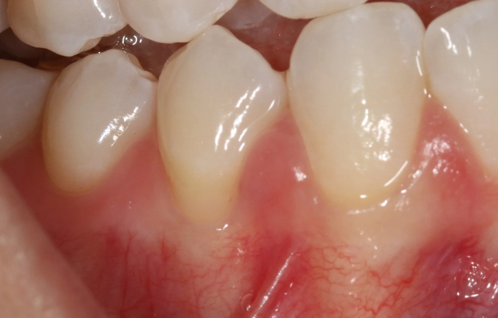
Recovery and Results

Most patients are pleasantly surprised by the quick recovery. You will be advised to eat soft foods for about a week and avoid brushing the surgical site directly until it has stabilized. Once healed, the root is protected, sensitivity is greatly reduced, and your smile looks younger and more symmetrical.

Pro Tip: Soft tissue grafting is often most successful when done early. If you notice your teeth look "longer" or feel a notch near your gum line, it’s the perfect time for a consultation.

Previous
Previous

Implants

Next
Next

Crown Lengthening