Dental Implants: Single Tooth to Full-Arch Restoration

At Perio Connect, we provide the surgical expertise to rebuild your smile, whether you are missing one tooth or an entire arch. By bringing specialized implant surgery directly into your general dentist's office, we ensure that your tooth replacement is anchored by a solid biological foundation.

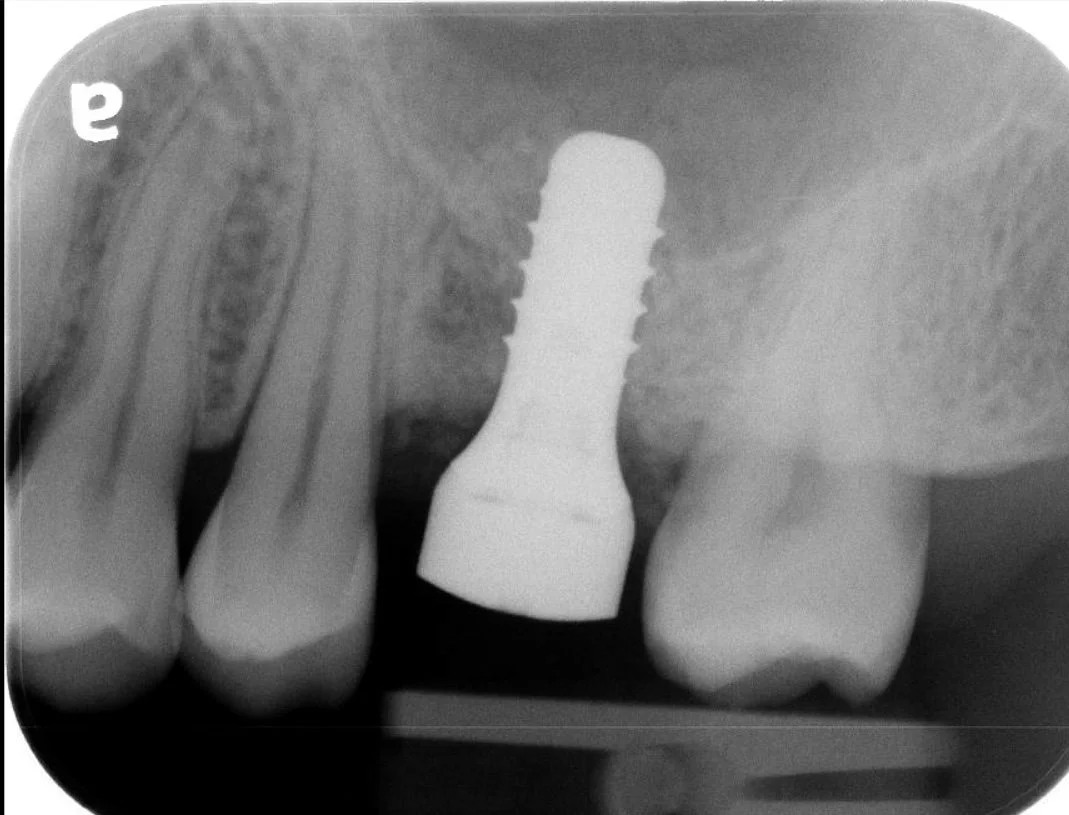
1. Single Tooth Restoration

The most common application for an implant is replacing a single missing tooth. Unlike a bridge, an implant does not require the "grinding down" of healthy adjacent teeth.

  • The Component: A medical-grade titanium post acts as a synthetic root.

  • The Benefit: It prevents the surrounding teeth from shifting and stimulates the jawbone to prevent bone loss.

  • The Result: Once healed, your general dentist places a custom crown that looks, feels, and functions like a natural tooth.

2. "All-on-X" Full-Arch Restoration

For patients who are missing most or all of their teeth in an arch, the All-on-X protocol (often All-on-4 or All-on-6) is a life-changing solution. Instead of one implant per tooth, we strategically place a specific number of implants (the "X") to support a full bridge of teeth.

There are two primary ways to finish an All-on-X case:

A. Hybrid Prosthesis (Fixed)

This is the "gold standard" for permanent tooth replacement.

  • How it works: The prosthetic teeth are screwed directly onto the implants.

  • Experience: It is non-removable by the patient. It feels the most like natural teeth, offers maximum biting power, and does not cover the roof of the mouth.

    Stability: High. It stays in 24/7 and is cleaned just like natural teeth (with specialized flossing tools).

B. Overdentures (Removable)

Sometimes called "Snap-on Smiles," this is a more affordable yet highly stable alternative to traditional dentures.

  • How it works: The implants have specialized attachments (like snaps or a bar) that "clip" into the underside of the denture.

  • Experience: It is removable for cleaning. While it provides much better stability than a standard denture (no slipping or adhesives), it is still a removable appliance.

  • Benefit: Greatly improves chewing efficiency and confidence compared to traditional dentures.

The Perio Connect Clinical Path

Regardless of the complexity, our process remains focused on clinical excellence:

  1. 3D Imaging & Planning: We use CT scans to evaluate bone density and plan the exact placement of each implant.

  2. Surgical Precision: Our periodontist performs the surgery in the comfort of your home office.

  3. Integration (Osseointegration): We allow a healing period for the bone to fuse with the implant.

  4. Final Restoration: Your general dentist takes over to design and fit your final crown, hybrid, or overdenture.

Next
Next

Soft Tissue Graft