Crown Lengthening

A beautiful smile is about more than just healthy teeth—it is about the perfect balance between your teeth and your gums. At Perio Connect, we specialize in Aesthetic Crown Lengthening, a precise periodontal procedure designed to harmonize your gum line and reveal the full potential of your natural smile.

What is Aesthetic Crown Lengthening?

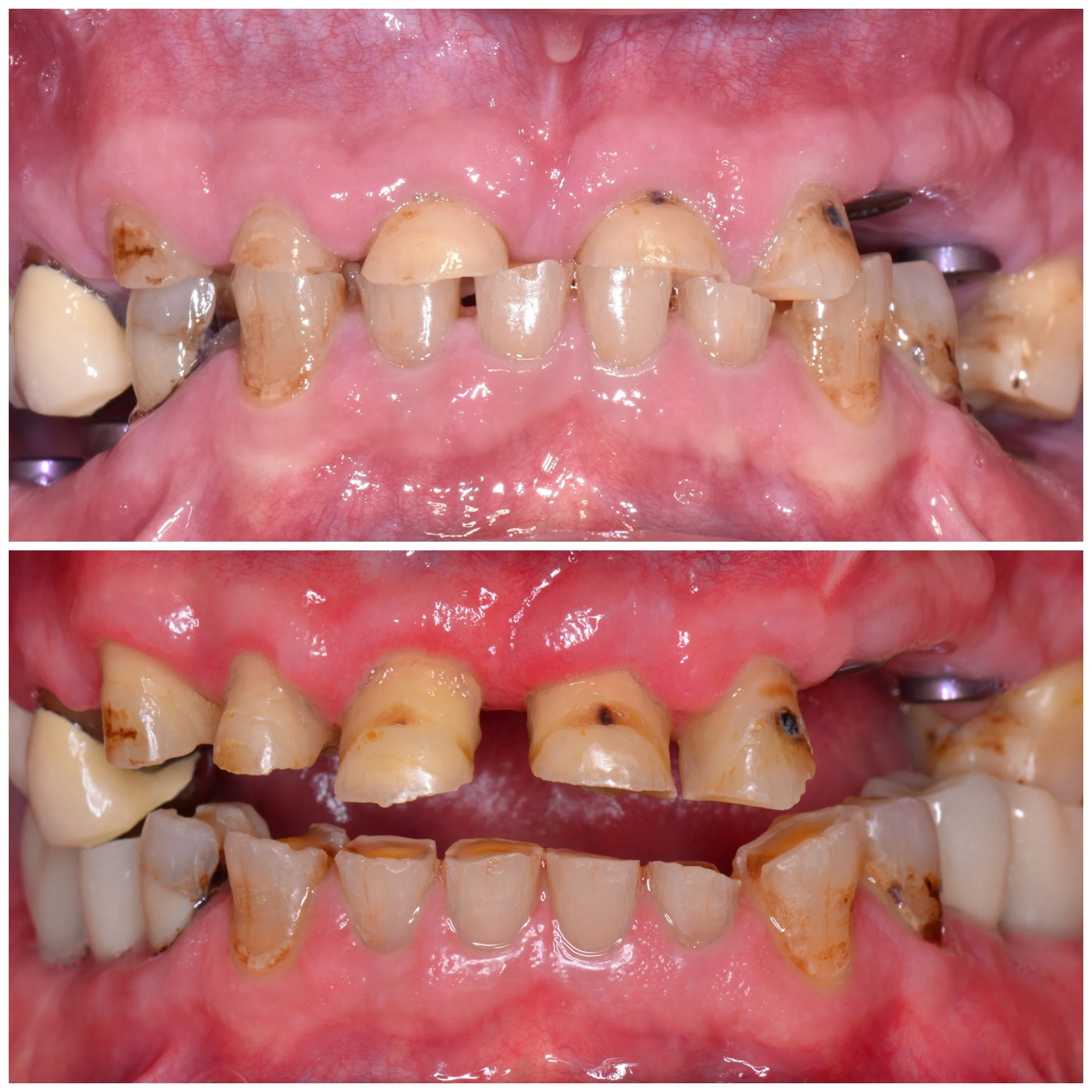
Commonly known as a "gum lift," this procedure involves carefully reshaping the gum tissue (and sometimes the underlying bone) to expose more of the natural tooth structure.

While some procedures are done for restorative reasons (to fix a cavity under the gum line), Aesthetic Crown Lengthening focuses on the "visual architecture" of your smile. It is the ideal solution for patients who feel their teeth look too short or that their smile is "too gummy."

Is This Right for You?

You may be an excellent candidate for this procedure if you experience:

  • A "Gummy" Smile: Your gums cover too much of your teeth, making them appear small or "boxy."

  • Uneven Gum Line: Your gums sit higher on some teeth than others, creating an asymmetrical appearance.

  • Preparation for Veneers: If you are planning a cosmetic makeover with crowns or veneers, crown lengthening ensures the foundation is level and aesthetic for the best possible results.

The Benefits of the Procedure

Investing in the health and appearance of your gum line offers both emotional and clinical advantages:

BenefitDescriptionEnhanced ConfidenceRemoves the self-consciousness associated with a gummy smile.SymmetryCreates a balanced, "golden proportion" across your front teeth.Improved Oral HealthReducing deep gum pockets makes it easier to brush and floss effectively.Permanent ResultsUnlike some cosmetic fixes, the results of crown lengthening are lasting.

What to Expect

The procedure is performed in the comfort of your general dentist’s office by our specialist. Using local anesthesia, we gently reshape the tissue to the predetermined height.

Recovery is typically quick, with most patients returning to their normal routine within a day or two. As the gums heal, they will settle into their new, beautiful position, providing a frame that makes your teeth look longer, brighter, and more proportional.

A Note for Our Patients: We work closely with your general dentist to ensure that your new gum line perfectly matches any future dental work, such as veneers or bonding, for a seamless finish.

Previous
Previous

Soft Tissue Graft

Next
Next

Bone Regeneration